
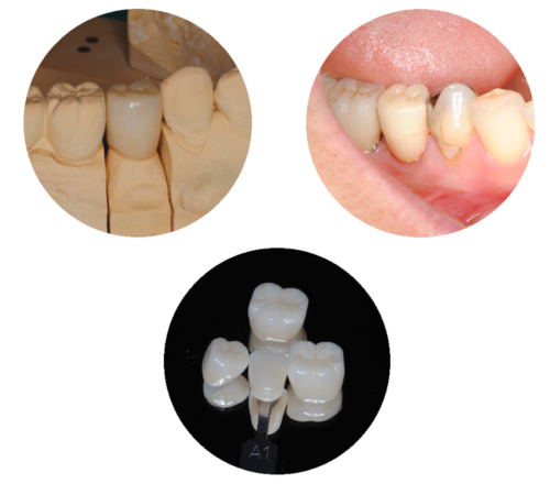
ジルコニアクラウンの1番の特徴は金属並の強度と優れた耐久性。従来のオールセラミックスでは難しかった臼歯部のブリッジにも対応できます。
ポーセレンパウダーを築盛しないフルジルコニアクラウンでは、クリアランスを確保しにくい天然歯の症例にも最適です。オールセラミックをするためにどうしても抜髄をしなくてはいけなかったケースはございませんか?そんなときジルコニアを選択してみてはいかがでしょう。


オールセラミックに比べると多少審美性に劣るものの、現在では透過性の高い優れたインゴットが開発されています。
ゼノスターのジルコニアフレームは外注に製作を依頼しております。